教室前景
教室后景
学生特写
实验登记表
辅导特写
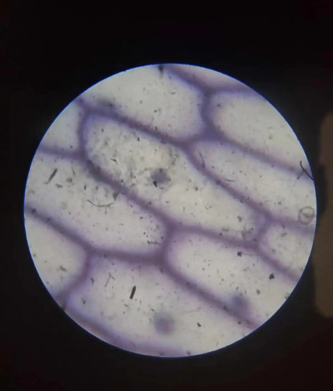
实验现象
年度:202301年度
所属范围:榆林市教育局
所属学校:米脂县教育和体育局
年级科目:六年级科学
实验教师:王焕
实验类型:学生实验
实验时间:2023-12-14 16:46